咨询台028-82556337(工作时间),急诊科028-82550109(24小时)
办公室028-82556955(24小时),邮箱: cdsxjqzyyy@163.com
医院主页
院务公开
医院简介
医院环境
先进设备
院务公开
后勤服务
医院采购
人才招聘
新闻中心
新闻动态
公号推文
就医指南
门诊指南
住院指南
检查须知
健康体检
残情评定
医院导航
护理天地
护理简介
护理动态
特色护理
天使风采
党建平台
组织建设
党务公开
党建动态
医保专栏
医保政策
医保动态
科研教学
健康科普
教学工作
重点专(学)科建设
学术交流
专委会任职
继续教育
中医药师承
基层指导
科研工作
泌尿外科
科室简介
技术特长
中医优势
设备简介
科普知识
服务中心
Service Center
预约挂号
健康咨询热线:
咨询台028-82556337(工作时间)
急诊科028-82550109(24小时)
办公室028-82556955(24小时)
邮箱: cdsxjqzyyy@163.com
技术特长
首页
>
泌尿外科
>
技术特长
返回
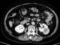
腹腔镜下肾肿瘤、肾上腺肿瘤切除术
广泛开展腹腔镜下肾癌根治术、肾盂癌根治术、肾部分切除术、肾肿瘤剜除术、肾上腺肿瘤切除术、肾盂输尿管成形术、肾囊肿去顶减压术、输尿管上段切开取石术等。全腔镜下进行,创伤小、恢复快。 腹腔镜肾肿瘤剜除术(保肾) 腹腔镜肾癌根治术腹腔镜肾盂癌根治术
了解详细
浏览:2290次
时间:2020-03-05
包皮环切缝合术
传统包皮环切术外形美观度欠佳、操作繁琐。新式包皮切割吻合器手术,手术时间短、痛苦小、切缘整齐、恢复快。能耐受局麻的儿童和成人均在门诊手术,无需输液打针。
了解详细
浏览:2380次
时间:2020-03-05
上一页
1
2
下一页
Copyright © 2010-2025 成都市新津区中医医院 版权所有
蜀ICP备2022023256号
医院地址:新津区西创大道1389号,新津区模范街97号。
卫生健康行业领域突出问题专项整治
举报电话:028-88956666
扫一扫关注官方微信