咨询台028-82556337(工作时间)
急诊科028-82550109(24小时)
办公室028-82556955(24小时)
邮箱: cdsxjqzyyy@163.com
返回
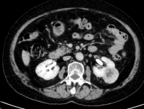
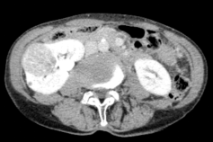
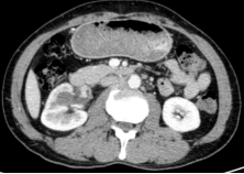
广泛开展腹腔镜下肾癌根治术、肾盂癌根治术、肾部分切除术、肾肿瘤剜除术、肾上腺肿瘤切除术、肾盂输尿管成形术、肾囊肿去顶减压术、输尿管上段切开取石术等。全腔镜下进行,创伤小、恢复快。
腹腔镜肾肿瘤剜除术(保肾) 腹腔镜肾癌根治术 腹腔镜肾盂癌根治术





上一篇: 包皮环切缝合术
下一篇: 经尿道前列腺等离子剜除术
扫一扫关注官方微信